Фторування дитячих зубів — зміцнення емалі без болю
У Студії естетичної стоматології Шкіпора Валерія Георгійовича ми проводимо професійне фторування зубів у дітей, щоб захистити їхню емаль від карієсу та зробити зуби міцнішими.
Це швидка, безболісна процедура, яка допомагає попередити появу карієсу без свердління і лікування.

Що таке фторування
Фторування — це нанесення на зуби спеціального гелю або лаку, який насичує емаль мінералами й робить її стійкішою до впливу кислот і бактерій.
Матеріал проникає у верхні шари емалі, зміцнюючи їх і створюючи природний бар’єр від карієсу.
Процедура підходить навіть для маленьких дітей — вона не викликає болю, не потребує анестезії і триває лише кілька хвилин.
Вартість фторування зубів у дітей
Фторування зубів (1 зуб) — від 200 грн
Ціна залежить від кількості зубів і типу препарату, який використовує лікар (лак або гель). Процедура проводиться після огляду та професійного очищення, щоб фтор краще закріпився на поверхні емалі.
Під час консультації лікар визначить, чи потрібен повний курс фторування, підбере безпечний препарат для віку дитини та дасть рекомендації для домашнього догляду.
Як відбувається фторування
1. Професійне очищення зубів.
Лікар видаляє м’який наліт, щоб підготувати поверхню емалі до нанесення гелю.
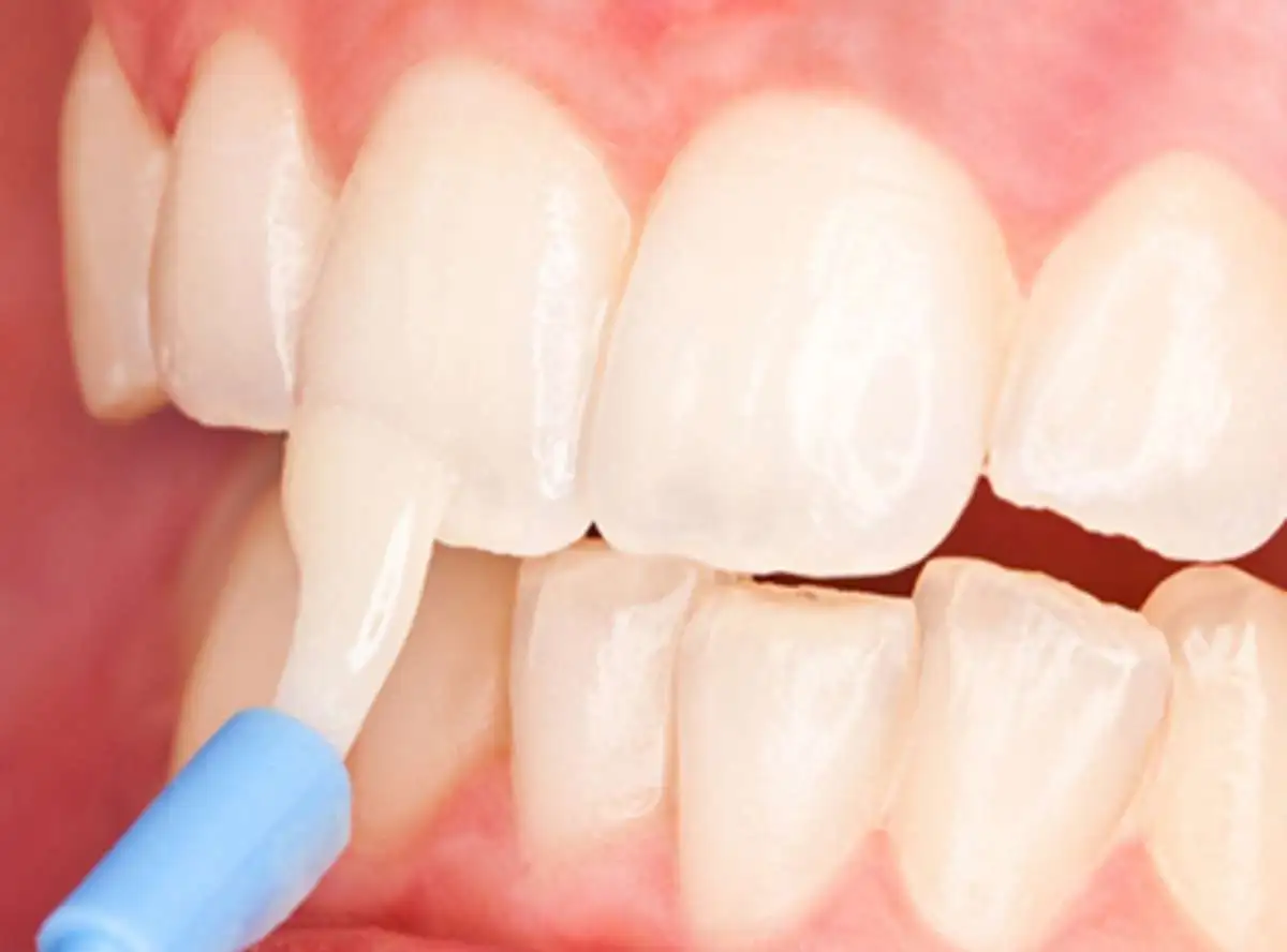
2. Нанесення фторовмісного гелю або лаку.
Препарат рівномірно розподіляється по всіх зубах за допомогою спеціального пензлика.
3. Фіксація та рекомендації.
Через кілька хвилин гель висихає, і дитина може одразу їсти — жодних обмежень чи неприємних відчуттів.

Переваги фторування
Знижує ризик розвитку карієсу на 30–50%
Зміцнює емаль та зменшує чутливість зубів
Без болю, уколів і страху
Швидка процедура — триває до 10 хвилин
Рекомендовано 2–3 рази на рік для профілактики, особливо дітям із схильністю до карієсу
Під час прийому лікар перевірить стан емалі дитини, визначить, чи потрібне фторування зараз, і підбере оптимальний засіб.















































